
外出踏青时大概都有过在野外洗手、洗脸甚至洗澡的经历。
然而,看似清澈透明的水实则含有不少细菌、病毒以及寄生虫等。
其中,最恐怖的莫过于有“食脑虫”之称的福氏耐格里阿米巴原虫。
没错,这种在科幻电影出现的吃脑子寄生虫其实就生活在你身边。
无论是江河、还是池塘,甚至在温泉和潮湿的泥土中都能找到它们的踪迹。一旦被它感染之后,它会迅速蚕食人的大脑,被感染者几乎必死无疑。
目前为止,在世界范围内有200多个感染病例,存活下来的不到10例。
其中,美国一共发病133例,仅有3例存活,致死率高达97.7%
虽说在中国正式报告过的不到10例,但没有一个人存活下来,致死率为100%。而这种寄生虫在中国被广为人知还当属2016年发生的这起病例。
2016年8月的一天,何先生开始出现头痛、咳嗽、食欲不振等不适。
当时他以为只是感冒,服用药物后就没太在意。
可没料到病情越发严重,他只好前往医院治疗。
未等病因确定,他就开始胡言乱语、瘫痪、并进入昏迷状态。
不到半个月的时间,他就不治身亡了。
而检验结果显示何先生生前正是感染了福氏耐格里阿米巴原虫。
福氏耐格里阿米巴原虫据家人回忆,何先生被该寄生虫缠上的原因是此前在景区内玩水。
类似事件还有2003年,美国两名儿童因饮用自来水感染“食脑虫”致死。
2015年8月,美国14岁田径新星麦克·莱利在一次游泳后感染该虫死亡。
那么,福氏耐格里阿米巴原虫是怎样一步步吃掉大脑,并致人于死地的呢?
命丧“食脑虫”的麦克·莱利福氏耐格里阿米巴原虫喜欢生活在潮湿和热的环境中。
一般情况下,它会以三种形态生存,分别是滋养体、包囊、鞭毛。
所谓滋养体,指原生动物摄取营养阶段,能自主活动、生长和繁殖,属于寄生原虫的寄生阶段。
最早被记录的阿米巴原虫图在环境安逸的条件下,福氏耐格里阿米巴原虫就以滋养体的形式存在水中。
但当缺水和食物时,它则会在外面产生双层的囊,将自己包裹成一个球形。
就好比建了个防空洞,通过休眠来避免死亡。
这些包囊能悬浮在空气中随风扩散。
不过,要是遇到适于生存的水,就能再脱去包囊,重新成为滋养体。
生物期:囊肿、滋养体、鞭毛虫与其他寄生虫不同,在水中它们有时长出鞭毛,有时变出不同的手足。
因此,它也属于我们中学课本上提到的变形虫的一种。
一般情况下,福氏耐格里阿米巴原虫会从人的鼻孔中进入人体。
当它在接触鼻腔黏膜之后,就会设法钻入与大脑连接的嗅觉神经。
顺着神经潜进用来感知气味的嗅球,并吃掉包围在嗅球表明的组织。
这时,被感染者就会失去嗅觉和味觉。
黄色部分:人的嗅球在脑中所在的位置之后,它们入侵到大脑的其它部位,会吞噬包围在中枢神经系统外面的保护层。
当人体内的细胞会派出免疫细胞来对抗感染时,患者会出现头疼、恶心、呕吐和脖子僵硬等第一临床特征。
可往往人体内的细胞很难完全消灭耐格里阿米巴原虫。
随后,它入侵至大脑深处,并且感染更多的脑组织。
尤其是感染与规划、情绪控制相关的大脑区域。
这样一来,患者出现精神错乱、出现幻觉、混乱以及痉挛第二临床特征。
但最终导致死亡的并不是脑组织的缺失,而是身体与感染抗争所带来的发炎和肿胀,导致头骨承受着极端的压力。
巨大的压力会迫使大脑分解脑干和脊髓相连的地方,最终导致两者之间的联系被切断。大多数患者会在第二临床症状出现后因呼吸衰竭而死亡。
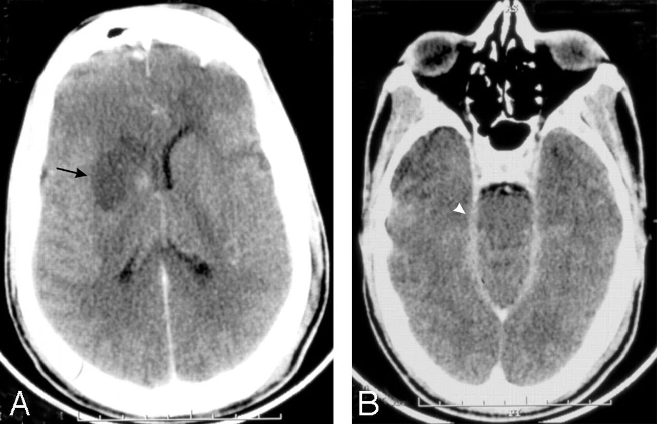
对比度增强的CT脑扫描显示右基底神经节梗塞(箭头,A)和增强的渗出物在脑内池(箭头,B)至于福氏耐格里阿米巴原虫为何会直接钻进大脑在科学界仍是未解之谜。
不少科学家推测,这种寄生虫可能是被一种叫作乙酰胆碱(ACh)的化学物质吸引。我们大脑前部的细胞会释放大量该物质。而该物质也能作为一些免疫细胞和成长神经元的磁体。
但目前仍需要找寻更多证据来验证该理论,比如寻找了“食脑虫”身上可能与乙酰胆碱相连接的受体等等。
耐格里阿米巴原虫小而阴险。 图片来源:伦敦卫生与热带医学学院“食脑虫”固然可怕,但科学发现它也拥有弱点。目前所知,它只能通过鼻腔粘膜侵入人体。换言之,即便喝下被福氏耐格里阿米巴原虫污染的水,也不会发病。
这也就意味着,只要我们阻断了单一的传播途径,就能预防被感染了。
像不要脏水进入鼻腔、避免在不干净的河水、湖水等地方游泳、洗脸都是不错的方法;
比起这种容易预防的“食脑虫”,另一种棘阿米巴原虫则需要我们更加小心。
棘阿米巴原虫和耐格里阿米巴原虫同都划为阿米巴原虫目,是单细胞低等生物。
类似地,棘阿米巴原虫广泛分布在空气、土壤、水中、甚至从鼻腔和口腔黏膜中也能分离出。
不同的是,感染棘阿米巴原虫会引发的眼部感染,严重时会使人失明。
处在囊肿状态下的棘阿米巴原虫最经典的病例便是英国女子克莱尔长达十余年的折磨。
2007年2月的一天,英国女子克莱尔像平时一样戴上隐形眼镜去上班。
刚到公司不久,她的左眼就不断会感到疼痛。
之后几天,她的眼睛变得异常敏感,一点光线也会让她痛得睁不开眼。
等她前往小诊所检查后,医生诊断为是常见的结膜炎,并给予药物治疗。
未发病前的克莱尔可克莱尔的病情并没有消退,反而左眼视力也急剧下降。
她总感觉自己的眼睛里有东西在爬,便赶紧前往医院做角膜检查。
结果发现,她的左眼正是感染这种叫棘阿米巴原虫的寄生虫。
两个星期之后,她的角膜开始充血水肿、溃疡,像被咬了一个洞,令她痛不欲生。
最终,克莱尔只好选择了眼角膜移植,但手术并不成功。
肆虐的棘阿米巴原虫几乎吞噬了克莱尔的眼睛,还使她患上了神经痛。
痛不欲生之下,她决定接受脑部手术,切断脸部神经麻痹自己的痛苦。
不幸的是,在手术中克莱尔又中风了,彻底瘫痪,直到1年多的治疗才下床。
可即便左眼失明,中风瘫痪,但棘阿米巴原虫依旧顽强地繁衍着,将克莱尔折磨得生不如死!
虽说克莱尔只代表个例,但近些年由棘阿米巴原虫引起的病例也在不断增加。这与现代生活中越发频繁使用的隐形眼镜脱不了干系。
通常情况,棘阿米巴原虫平常和人类接触时并不会致病。
一般在角膜有创伤的情况下,接触到水中乃至空气中的棘阿米巴原虫,就会容易导致其入侵、滋生。
当它进入角膜之后,会以上皮细胞、角膜细胞为食来进行增殖。
这时患者就会出现眼睛疼痛、羞明、流泪等类似角膜炎、结膜炎的症状。
棘阿米巴原虫引起角膜炎接下来,这些棘阿米巴原虫还沿角膜知觉神经末梢走行侵蚀,从而使得角膜知觉减退等。
值得一提的是,存活的棘阿米巴原虫较少引起炎细胞反应,但变性死亡时释放抗原,释放溶酶体酶加重炎症。
最终,炎症会使得全角膜混浊、破坏,穿透眼球,甚至直接导致失明。
据国外报道,棘阿米巴角膜炎患者52%~88.9%均是隐形眼镜佩戴者。
原因在于,对于配戴隐形眼镜的人来说,若是操作不当,比如配适不合理、长时间过夜配戴等,容易损伤眼角膜。
这样一来,就为棘阿米巴原虫进入眼睛里肆虐创造条件。
此外乱用护理液、用自来水等未经消毒的水清洗隐形眼镜等,都是诱发眼部棘阿米巴原虫滋生的高危行为。
上文的克莱尔感染的原因正是隐形眼镜的护理液出了问题。
她还因此得到了一定的赔偿,却一生备受折磨。
不只是国外,国内类似的病例也并不罕见。
比如媒体上报道隐形眼镜5个月没取出21岁女孩右眼失明。
庆幸的是,现代医学的发展下,棘阿米巴原虫感染的眼疾早期治疗能保持、恢复良好视力。
晚期的患者只能控制感染,等眼安静状态下行角膜移植手术,以恢复视力。
为了防范于未然,我们平时一定要规范地佩戴和处理隐形眼镜等。
毕竟棘阿米巴原虫和耐格里阿米巴虫再可怕,只要我们摒弃那些坏习惯就能拒其于千里之外。
最猝不及防的恐怕是贪一时之便而酿成的大祸。
*参考资料Amoebida.Wikipedia.2018.06.30研究揭示食脑变形虫瞄准大脑之谜 by 丁香园Here’s What Happens When An Amoeba ‘Eats’ The Brain by Roni Jacobson阿米巴原虫.百度百科英国女孩戴隐形眼镜游泳水中的棘阿米巴原虫,弄得她眼睛瞎了 来源:英国每日邮报_____________作者系网易新闻·网易号“各有态度”

2019-06-01 14:18:06