生活中很多人深受牙病困扰,他们对口腔知识不甚了解,对牙医误解颇多,希望大家能通过这篇文章,有口腔问题的找到最优解决方法,没有的,做好预防工作。
1
牙病不能忍时才来看医生
牙病与全身其他疾病不同的是牙病可以预防,人的一生可以不得其他疾病,但很少有人会不得牙病,而且牙病的发展是一个缓慢的过程,如果你自己不重视不预防,那恐怕要自食其果了。

另外很多朋友不把牙病当一回事,往往是等到牙疼得直打转才来见牙医,在临床上我们见过很多人牙齿就剩一个大窟窿了才想起看医生。到那时,就算医生想挽救也很难了。
建议
半年到一年口腔检查一次,定期洗牙,定期更换牙刷及牙膏,养成早晚刷牙和用牙线的好习惯。

图:超声波洗牙
2
不遵医嘱,不按时就诊
一些人在牙痛的急性症状缓解后,不按时复诊(好了伤疤忘了疼),待疼时又再来就诊,往往延误了病情。
有的医生给安排了预约时间不准时,来了就着急,也为医生的工作带来很多不便。
建议
一定按照医生给您预约的时间就诊,如果有事,尽量事先给医生打个电话咨询是不是可以选择其它时间,这样既是尊重别人也是方便自己。

3
孩子的乳牙反正要换,不用治疗
很多家长有个误区,认为孩子的乳牙迟早要换,坏了可以不用管它。其实孩子的乳牙好坏直接影响恒牙的发育、颌骨发育及全身营养的摄取和消化吸收。所以家长们切不可大意。

图:换牙时乳牙、恒牙移动示意图
建议
大部分孩子都易患蛀牙,家长要多关注,喝奶、饮食后要勤给孩子漱口,早晚科学刷牙。有了蛀牙后,一定要及时带孩子看牙医。

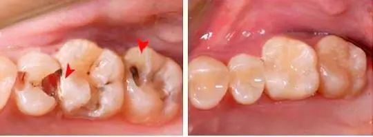
图:蛀牙补牙前后对比图
4
牙疼,拔掉就行了
一些人有了牙病不及时治疗,等到严重了直接来诊所要求拔牙,医生不给拔就大吵大闹,他们认为自己的牙齿自己说了算,医生要给他治疗就是想多收钱。

一般医生不给你拔牙的主要原因是:
- 你的牙齿不该拔,通过治疗完全可以保留。
- 发炎牙痛时不能拔,容易感染给你造成不必要的痛苦。
建议
请您还是听牙医的,毕竟在这方面牙科医生是专家。要知道,一旦恒牙拔除了就不可再生,需要镶牙修复,花钱更多不说,镶复的牙齿再好也不如自己的真牙好。

5
不愿意拍牙片
一些人不愿意照牙片,认为医生看看牙齿情况就可以了。
要知道医生的眼睛不是透视镜,牙齿好比大树,树根扎在土壤里,而我们的牙根也埋在牙槽骨里,牙根的状态、里面的神经肉眼都是看不到的。
只有通过牙片,牙医才可以确切了解龋坏的范围、牙痛是由牙髓炎还是根尖炎或是牙周炎引起、种植牙需要的骨量等等。

图:种植牙牙片
牙片为医患沟通提供了准确的依据。
有些家长还认为孩子拍牙片会受到辐射,对身体不好,其实大可不必担心,牙科X光片对身体辐射量相当低,并且正规牙科都会配备防辐射服,影响微不足道。
建议
相信医生,拍牙片只能对你有好处,也可以为你保留最原始资料,更可以让医生准确判断你的病情,更好地为你治疗。

6
洗牙会破坏牙齿健康
一些人担心洗牙会导致牙齿松动、破坏牙釉质等等,所以不愿定期洗牙。
其实洗牙所用的工具是进口超声波机,它是采用平滑和无创的高频振动,使牙结石受到震动而松脱,而非磨除。

图:超声波洗牙
喷砂也是采取高压水、气、砂同时作用的原理将牙齿表面的污物去除,只要操作正确,手法适当,洗牙是不会对牙齿有任何伤害的。
建议
大家可以多了解一些这方面的专业知识。
参考文章:洗牙伤牙吗、会痛吗……史上最全洗牙知识都在这里!

图:牙渍洗牙先后对比图
7
要求医生治疗速度快点
任何疾病的治疗都需要时间,牙病也不例外。
比如:简单的小龋洞充填可以一次治疗完成;根管治疗一般需要二到三次,根管治疗后有些还需要做牙冠修复,这都是需要时间的。如果做牙齿矫正可能需要一两年的时间,还要定期复诊。

图:根管治疗的步骤
一味的要求医生缩短治疗时间不仅不现实,更不利于治疗效果。
建议
既来之则安之!为了你的牙齿健康还是听医生的。

8
做了窝沟封闭就可以不用管它了
有些家长以为给孩子做了窝沟封闭就万事大吉,从此不再关心孩子的牙齿,一旦出现龋齿就怨医生技术不好。

图:窝沟封闭
其实窝沟封闭只是预防龋齿的一种方法,家长还是要监督孩子的口腔卫生清洁,并给窝沟封闭做复查,通常半年到一年如发现窝沟封闭剂有脱落,需要将它重新封上。
建议
即使医生为孩子的牙齿做了防护措施,也仍然需要家长和孩子平日细心的呵护和清洁。

9
打麻药会影响智力
有的人会问:打麻药是不是对脑子不好啊?特别是家长带孩子看病的情况,就怕打麻药把孩子脑子打坏了,影响智力。

其实,麻药在体内经过代谢也就2小时左右的时间,我们治牙和拔牙时的用量是很少的,正常治疗过程中的少量应用是没有什么影响的。
比如,现在生孩子破腹产很多也要打麻药,如果这种麻药会影响到孩子智力的发育,你说医生还敢用吗?
建议
麻药并没有你想的那么可怕,并且牙科治疗所需的麻药用量非常少,如果打麻药能解决你的痛苦何乐而不为呢?

10
自己的牙齿自己说了算
有些人认为牙齿是长在自己身上的,应该自己说了算,本来不该拔,非要拔不可,不该保留的却非要保留,还振振有词的对医生说:“我让你怎么治你就怎么治就完了,出了事我肯定不找你“。
其实医生不给你治疗或是不给你随便拔牙是有道理的,拔牙和治疗都是有适应症的,一切应该按照原则办事,不然的话还读那么多年大学干什么?
建议
既然来找医生看病,就要多听听医生的,有了问题医生自会负责,千万不要自作主张。

2020-02-21 17:03:40